
Foot injuries are a frequent problem in many sports, but some athletes face a higher risk than others. Studies show that athletes in gymnastics, cross-country, track and field, and soccer tend to experience foot injuries more often. Both men and women in these sports are affected, but female track and field athletes appear to have a higher rate of injury compared to their male counterparts. The most common foot injuries include bruising of the foot or toes, injuries to the midfoot, plantar fascia strain, turf toe, and fractures of the metatarsal bones. Among these, metatarsal fractures, plantar fascia injuries, midfoot damage, and contusions are considered the most severe and frequent. If you are an athlete involved in high-impact sports, and experience persistent foot pain, it is suggested that you see a podiatrist who can advise with prevention strategies and guide you toward treatment to keep you active and injury-free.
Ankle and foot injuries are common among athletes and in many sports. They can be caused by several problems and may be potentially serious. If you are feeling pain or think you were injured in a sporting event or when exercising, consult with Abeer M. Foteh, DPM from Greater Houston Foot Centers. Our doctor will assess your condition and provide you with quality foot and ankle treatment.
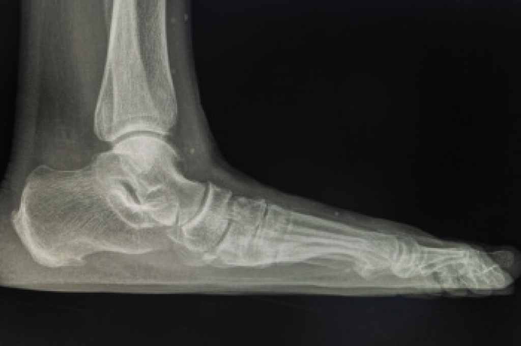
Common Injuries
The most common injuries that occur in sporting activities include:
- Achilles Tendonitis
- Achilles Tendon Rupture
- Ankle Sprains
- Broken Foot
- Plantar Fasciitis
- Stress Fractures
- Turf Toe
Symptoms
Symptoms vary depending upon the injury and in some cases, there may be no symptoms at all. However, in most cases, some form of symptom is experienced. Pain, aching, burning, bruising, tenderness, tightness or stiffness, sensation loss, difficulty moving, and swelling are the most common symptoms.
Treatment
Just as symptoms vary depending upon the injury, so do treatment options. A common treatment method is known as the RICE method. This method involves rest, applying ice, compression and elevating the afflicted foot or ankle. If the injury appears to be more serious, surgery might be required, such as arthroscopic or reconstructive surgery. Lastly, rehabilitation or therapy might be needed to gain full functionality in the afflicted area. Any discomfort experienced by an athlete must be evaluated by a licensed, reputable medical professional.
If you have any questions please contact our office located in Baytown, TX . We offer the newest diagnostic and treatment technologies for all your foot and ankle needs.






